Primul lucru pe care îl faci în momentul în care suspectezi că ai fi însărcinată este un test de sarcină. Este cea mai la îndemână metodă care îți poate confirma ”suspiciunile”. Testele de sarcină detectează gonadotrofina corionică umană (hCG) în urină și în sânge, acesta fiind un hormon produs de organism numai în sarcină. Nivelurile hCG cresc în sarcină pe măsură ce placenta crește. Hormonul de sarcină se poate detecta în sânge și în urină până la 6 săptămâni de la oprirea sarcinii. De aceea, testul poate să iasă pozitiv până când nivelul hCG ajunge la 0.
Anumite afecțiuni medicale pot determina creșterea nivelului hCG al unei femei, chiar dacă nu este însărcinată. O sarcină chimică poate fi cauza pentru un test fals pozitiv. Sarcina chimică apare atunci când ovulul se fecundează, dar nu este capabil să nidze. Mai exact, embrionul se formează, dar nu se implantează în cavitatea uterină și nu începe să crească.
Ti s-a întâmplat vreodată ca testul de sarcină să fie pozitiv, dar tu să nu ai niciun simptom de sarcină? Acesta este rezultatul fals pozitiv. Chiar dacă apare într-un număr redus de cazuri, te poate induce serios în eroare.
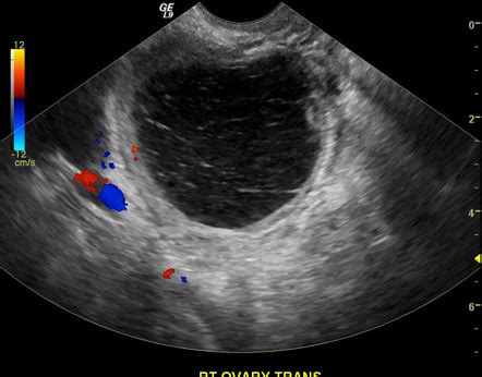
Chisturile ovariene sunt formațiuni apărute pe suprafața unuia sau ambelor ovare. Ele au aspect de săculeți, umpluți cu lichid. Chisturile apar din cauza că pe perioada ovulației, ovulul nu s-a desprins pentru a fi fecundat. Termenul de chist ovarian este unul general. Și asta pentru că din ovar poate să apară orice tip de tumoră, care, atenție: nu înseamnă neapărat cancer! Cu o ecografie transvaginală, se va pune un diagnostic clar despre tipul sau mărimea chistului.
Chisturile ovariene sunt structuri care conțin lichid, ce apar la nivel ovarian. Unele chisturi pot conține și țesut în interior. Chisturile ovariene sunt foarte frecvente și de obicei nu provoacă niciun simptom. Ovarele sunt două organe de mici dimensiuni, care fac parte din sistemul reproducător feminin. Ovarele eliberează un ovul la aproximativ 28 de zile ca parte a ciclului menstrual și secretă hormonii sexuali feminini (estrogen și progesteron), care joacă un rol important în procesul de reproducere. Chisturile ovariene pot afecta ambele ovare în același timp sau pot afecta doar un singur ovar.
Majoritatea chisturilor ovariene sunt chisturi funcționale. Acestea se formează ca răspuns al corpului tău la schimbările care se petrec în timpul ciclului menstrual. În fiecare lună, în ovarele tale cresc mici chisturi care se numesc foliculi. Aceștia produc estrogen și progesteron (hormoni esențiali în procesul de concepție), după care se sparg pentru a elibera un ou când te afli la ovulație. Un folicul lunar care continuă să crească e numit chist funcțional.
Tipuri de Chisturi Ovariene
Chisturi Funcționale
- Chist folicular: La jumătatea ciclului menstrual, un ovul este eliberat de folicul. Ovulul se deplasează apoi pe o trompă uterină. Un chist folicular se formează atunci când foliculul nu se rupe, nu eliberează ovulul și continuă să crească.
- Chist de corp galben: După ce un folicul eliberează ovulul, acesta se micșorează și începe să producă estrogen și progesteron. Acești hormoni sunt necesari pentru concepție. Foliculul se numește acum corp galben. Uneori, orificiul de unde a ieșit ovocitul este blocat. Lichidul se acumulează în interiorul corpului galben provocând un chist.
Chisturi Patologice
- Chist dermoid ovarian (teratom): Se formează din celulele reproducătoare, numite și celule germinale, care produc ovule în ovar. Chistul poate conține țesuturi, cum ar fi păr, piele sau dinți. Acest tip de chist este rar malign.
- Chistadenomul: Acest tip de chist se dezvoltă din celulele de pe suprafața ovarului. Chistul poate fi umplut cu un material apos sau mucos. Un chistadenom poate crește foarte mare.
- Endometriom: Endometrioza este o afecțiune care determină o creștere a celulelor similare cu cele care căptușesc uterul, în afara acestuia. O parte din țesut se poate atașa de ovar și forma un chist. Acesta se numește endometriom.
- Cancerul ovarian: Spre deosebire de celelalte tipuri de chisturi, chisturile specifice cancerului ovarian sunt mase solide de celule canceroase.

Cauzele Apariției Chisturilor Ovariene
Ovulația este cauza principală a chisturilor ovariene. Alte cauze includ:
- Reproducere celulară anormală. Reproducerea celulară atipică poate provoca formarea de chisturi precum dermoizii și chistadenoamele.
- Endometrioza. Aceste chisturi se formează adesea pe ovar în stadiile avansate ale endometriozei.
- Boala inflamatorie pelvină. Infecțiile pelvine severe se pot răspândi la ovare, cauzând chisturi.
Chisturile ovariene pot apărea la orice vârstă, dar sunt mai frecvente la vârsta reproductivă. Chisturile ovariene pot fi simptomatice sau asimptomatice. Majoritatea chisturilor ovariene sunt chisturi funcționale. În timpul ciclului menstrual apar lunar chisturi mici numiți foliculi. Foliculii produc hormonii sexuali feminini, estrogen și progesteron, și se deschid pentru a elibera un ovul atunci când are loc ovulația.
Chisturile dermoide și chistadenoamele pot deveni mari și pot muta ovarul din poziția sa. Acest lucru crește riscul de răsucire a ovarului, numită torsiune ovariană. Torsiunea ovariană poate reduce sau opri fluxul de sânge către ovar.
Simptomele Chisturilor Ovariene
Chisturile ovariene pot fi simptomatice sau asimptomatice. Simptomele pe care le pot experimenta femeile includ durere unilaterală sau presiune în abdomenul inferior. Durerea poate fi intermitentă sau constantă și poate fi ascuțită sau surdă. Dacă un chist ovarian se rupe sau este prezentă o torsiune ovariană, pacienta poate prezenta un debut brusc de durere acută severă, posibil asociată cu greață și vărsături.
Durere pelvină, care poate să dispară și să reapară. Majoritatea chisturilor ovariene se formează ca urmare a ciclului menstrual. Acestea se numesc chisturi funcționale. Pe ovarele tale, se dezvoltă, în fiecare lună, chisturi mici, numite foliculi. Foliculii produc hormonii estrogen și progesteron. Un folicul lunar, care continuă să crească, se numește chist funcțional.
Uneori, chisturile ovariene se pot răsuci sau se pot rupe. Chisturile ovariene pot conduce uneori și la complicații precum:
- Chist canceros: Chisturile ovariene care se dezvoltă după menopauză sunt mai susceptibile la malignitate decât chisturile care se formează înainte de menopauză.
- Chist ovarian rupt: Chisturile funcționale se rup de obicei fără a provoca simptome grave. Dar, uneori, un chist rupt poate provoca dureri severe și complicații. Cu cât este mai mare, cu atât este mai mare probabilitatea de a se rupe.
- Torsiunea ovariană: Chisturile pot crește atât de mari încât deformează forma ovarului, crescând probabilitatea ca acesta să se răsucească. Răsucirea poate bloca fluxul de sânge către ovar.
Din cauza dezechilibrului hormonal, ovulul nu mai ajunge la maturitate și ovulația nu se produce. Chisturile funcționale sunt, de obicei, inofensive și asimptomatice. Majoritatea chisturilor dispar fără tratament, în câteva luni.
Diagnosticarea Chisturilor Ovariene
Diagnosticul unui chist ovarian presupune un examen fizic și investigații suplimentare. De multe ori, un chist ovarian poate fi identificat în timpul unui examen pelvin sau la un test imagistic, cum ar fi o ecografie pelvină. În funcție de dimensiunea chistului și de tipul acestuia, medicul poate recomanda teste pentru a determina tipul chistului și necesitatea unui tratament.

Testele posibile includ:
- Test de sarcină sau efectuarea beta hCG seric: Un test de sarcină pozitiv sau o valoare hCG specifică sarcinii poate confirma prezența unei sarcini timpurii. Chisturile corpus luteum sunt normale în timpul sarcinii.
- Ecografia pelvină: Ecografia este folosită pentru a confirma prezența unui chist ovarian, pentru a identifica localizarea acestuia și pentru a determina dacă este solid sau dacă este lichid.
- Laparoscopie: Un instrument subțire și luminat numit laparoscop, este introdus în abdomen printr-o mică incizie. Folosind laparoscopul, medicul poate vizualiza ovarele și orice chist prezent. Dacă se identifică un chist ovarian, tratamentul se face de obicei în timpul aceleiași proceduri. Aceasta este o procedură chirurgicală care necesită anestezie.
- Teste cu markeri tumorali: Nivelurile sanguine ale unei proteine numite antigen canceros 125 (CA 125) sunt adesea crescute în cancerul ovarian. Dacă chistul pare solid și pacientul prezintă un risc ridicat de cancer ovarian, medicul ar putea recomanda un test de antigen canceros 125 (CA 125) sau alte teste de sânge.
Ecografia pelvină: cu rolul de a investiga uterul și ovarele. Laparoscopie: laparoscopul este introdus în abdomen, printr-o mică incizie. Folosind laparoscopul, medicul poate vedea ovarele și depista orice chist. Dacă se identifică un chist, tratamentul se aplică, de obicei, în timpul aceleiași proceduri.
Teste cu markeri tumorali: nivelurile sanguine ale unei proteine numite antigen canceros sunt adesea crescute în caz de cancer ovarian. Dacă chistul tău pare solid și prezinți un risc ridicat de cancer ovarian, medicul îți poate comanda un test pentru antigen canceros sau alte teste de sânge. Nivelurile de antigen malign pot fi crescute, de asemenea, în condițiile altor afecțiuni, cum ar fi endometrioza și boala inflamatorie pelvină.
Tratamentul Chisturilor Ovariene
Există mai multe opțiuni de tratament, dar abordarea medicală depinde de vârsta pacientei, starea de menopauză, dimensiunea chistului și dacă chistul are caracteristici suspecte de malignitate. Chisturile uniloculare mai mici de 10 cm sunt de obicei benigne, indiferent de vârsta pacientei. Dacă pacienta este asimptomatică, ea poate fi monitorizată prin ecografii transvaginale periodice, deoarece majoritatea chisturilor se rezolvă spontan, fără intervenție.
Dacă un chist nu dispare după mai multe cicluri menstruale, este puțin probabil să fie un chist funcțional și este indicată o analiză ulterioară.
Medicamente: Contraceptivele hormonale, cum ar fi pilulele contraceptive, împiedică ovulația. Acest lucru poate împiedica formarea de noi chisturi ovariene. Atenție: pilulele anticoncepționale nu vor micșora un chist existent!
Intervenție chirurgicală: În unele cazuri, este necesară chiar extirparea ovarului, procedură ce poartă numele de ooforectomie. Intervenția chirurgicală se poate face adesea laparoscopic sau clasic. Ultima variantă are loc dacă chistul este mare sau există risc de cancer.
Chisturile ovariene funcționale obișnuiesc să dispară fără tratament. Dacă e vorba de un chist funcțional, medicul poate sugera să așteptați și să observați formațiunea. Nu se administrează antibiotice pentru chistul ovarian. Dacă un chist ovarian îți provoacă simptome neplăcute sau crește în dimensiune, e posibil să ți se recomande o intervenție chirurgicală pentru a-l îndepărta.
Operație laparoscopică pentru chist ovarian: Procedura e minim invazivă. Medicul introduce o cameră printr-o incizie în abdomenul tău și vede organele reproducătoare și cavitatea pelviană.

În cazul în care ai astfel de chisturi, trebuie doar să le monitorizezi, prin control periodic. Deși chisturile ovariene sunt o afecțiune frecventă în rândul femeilor, chisturile funcționale nu afectează fertilitatea.
Chisturi ovariene: Tot ce trebuie să știi de Dr. Lora Shahine
Medicii cu experiență ai Ana Medical Center te pot ajuta să depistezi și să tratezi din timp o eventuală problemă medicală. Pentru a veni în sprijinul pacientelor, Ana Medical Center practică periodic oferte avantajoase, pentru investigațiile ginecologice.
tags: #chistul #ovarian #pot #influenta #testul #de