Sarcina este o călătorie extraordinară, plină de transformări fizice, emoționale și sufletești. De la primele celule care se formează, până la clipa în care îți ții copilul în brațe, fiecare săptămână aduce cu sine o nouă etapă din miracolul vieții. În acest ghid vei descoperi, pas cu pas, ce se întâmplă cu bebelușul tău și cum se schimbă corpul tău pe parcursul celor 40 de săptămâni.
Săptămâna 5 de sarcină marchează începutul celei de-a doua luni de sarcină. Săptămâna 5 de sarcină se consideră a fi și săptămâna a treia de la fecundare și reprezintă debutul sarcinii embrionare care durează timp de 10 săptămâni. Teoretic, femeia a trecut de prima lună de sarcină și se pregătește pentru următoarele opt. Este o perioadă importantă pentru bebeluș, dat fiind că acesta este încă foarte vulnerabil, însă riscul de avort spontan este redus.
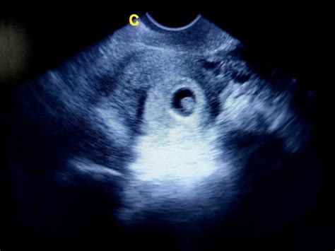
Ce se întâmplă cu bebelușul în săptămâna 5 de sarcină?
În săptămâna 5 de sarcină, acel nucleu de celule care s-a divizat constant se poate numi oficial embrion și are mărimea unei semințe de măr, aproximativ 1,25 mm, ceea ce este suficient pentru a putea fi observat la ecograf. Bebelușul sau embrionul are aproximativ 2 mm lungime în săptămâna 5 de sarcină, cam la fel de mare ca o sămânță de susan. Aceasta este perioada în care trăsăturile feței încep să prindă contur și se formează nasul și ochii, care rămân închiși până la aproximativ 28 de săptămâni (de dimensiuni foarte mici). Embrionul este vizibil (20 de zile), de mărimea unei gamalii de ac! El se dezvoltă de acum foarte repede, deși tu nu știi că ești însărcinată. Tot în săptămâna 5 de sarcină se formează și o placentă rudimentară și cordonul ombilical. Cu ajutorul acestora embrionul își primește atât oxigenul cât și nutrienții de la mamă. Un alt aspect important și, totodată, emoționant care apare în săptămâna 5 de sarcină este faptul că începe să-i bată inima. De fapt, acum este perioada în care se formează sistemul digestiv, sistemul circulator și sistemul nervos, primul fiind sistemul circulator. Inima este deocamdată formată din 2 mici canale, care vor fuziona și vor forma o inimă perfect funcțională. Din ziua 22 (săptămâna 6) după fertilizare, un test cu ultrasunete va putea detecta activitatea inimii copilului dumneavoastră. În acest stadiu, copilașul are inimă, inițial disproporțional de mare. Știați că în nicio etapă din timpul sarcinii, copilul nu primește oxigen prin plămâni? De fapt, singura modalitate prin care primește oxigenul de care are nevoie este prin placentă. Embrionul începe să se dezvolte foarte repede, deși tu nu știi că ești însărcinată. Placenta se dezvoltă în continuare. În săptămâna a 5-a începe dezvoltarea sistemului nervos central și a oaselor. Tot acum se formează fața, ochii, gura și nasul și se conturează tălpile. Forme de mânuțe și degete rudimentare se dezvoltă. Fătul trece prin schimbări semnificative: la sfârșitul celei de-a cincea săptămâni de sarcină va arăta ca un mormoloc și va avea inclusiv coadă. De asemenea, organele vitale, precum inima, sistemul nervos central, oasele și mușchii încep să se dezvolte, la fel și tubul neural. Nu îți dai seama, dar creierul bebelușului tău se dezvoltă rapid prin apariția celor două emisfere cerebrale, cele două părți ce vor alcătui creierul său. Organele de simț apar și ele, prin conturarea ochilor și a urechilor și prin debutul nasului și a gurii. De asemenea, fața începe să prindă contur. În mod fascinant, sistemul său pulmonar și cel digestiv prind formă puțin câte puțin. Inima bebelușului tău s-a dezvoltat suficient încât să devină mai proeminentă - o ecografie în această etapă va arăta cu siguranță bătăile inimii lui! Copilul crește într-un ritm tot mai accelerat, iar de la embrionul de mărimea unei afine, în săptămâna 8 de sarcină el ajunge deja la mărimea unei zmeure. Copilul are mărimea unei afine în săptămâna 7 de sarcină. Practic, dimensiunea embrionului este de zece mii de ori mai mare decât era în urmă cu o lună. Săptămâna 6 de sarcină este perioada în care embrionul este curbat și are formată o prelungire ce seamănă cu o coadă, arătând ca un mormoloc de dimensiuni mici. Desi este doar cât un bob de mazăre, bebelușul tău crește cu repeziciune. Nu asculta poveștile despre naștere ale oricui, te pot impresiona negativ. Lanugo și stratul de vernix care acoperă pielea încep să dispară, greutatea lui este de 2400 grame, poți deja să faci planuri de naștere cu familia. Se pot repeta acum analizele pentru a verifica absența anemiei și eventual anticorpii în incompatibilitate de grup sau de Rh. Pot apărea contracții uterine ușoare, care pregătesc fibra musculară pentru travaliu, dar nu fac modificări de col (Braxton - Hicks). Acum fătul are aspect de bebeluș, cresc și unghiile de la picioare; membrele sunt flectate și are mai puțin spațiu să se miște. Poti să-ți faci de pe acum bagajul pentru spital.
Copilul tău: începe perioada embrionară. Săptămâna 5 de sarcină sau a treia săptămână de la fecundare marchează începutul perioadei embrionare care durează până în săptămâna 10 de sarcină. În acest interval de timp creierul, maduva spinării, inima și alte organe încep să se formeze și în consecință aceasta este perioada când copilul este cel mai vulnerabil la orice ar putea interfera cu dezvoltarea lui. Există trei straturi care formează embrionul: ectodermul, mezodermul și endodermul. Ectodermul va deveni sistemul nervos, pielea, părul, unghiile, glandele mamare, glandele salivare și smalțul dinților. Din mezoderm se vor forma inima, sistemul circulator, scheletul, țesutul conjunctiv, sângele, sistemul urogenital și mușchii. Endodermul se va transforma în plămâni și tubul digestiv, ficat, pancreas și glanda tiroidă. De asemenea, a început să se formeze placenta care produce anumiți hormoni importanți pentru sarcină, inclusiv HCG.

Ce se întâmplă cu corpul mamei în săptămâna 5 de sarcină?
Acum, în săptămâna 5 de sarcină, s-ar putea să simți că ceva s-a schimbat. Multe femei o pot simți, chiar în acest stadiu timpuriu. Poate te simți mai tensionată sau mai irascibilă decât de obicei. Aceasta este cauzată de schimbările hormonale, ce pot afecta nu doar starea ta emoțională, ci pot produce și anumite schimbări fizice. Sânii tăi se pot simți mai plini, iar unele femei simt o greutate în partea de jos sau chiar durere în zona pelviană, ce ar putea fi din cauza fluxului sanguin intensificat. Sanii se dezvolta și devin dureroși și tensionați. Acum observi o oarecare îngroșare a taliei. Dacă încă nu ai programat prima consultație la medic, acum este momentul ideal să o faci. Este important să faci analize de sânge și să începi să iei suplimente alimentare, în special cu acid folic. Tot din săptămâna 5 de sarcină va trebui să începi să fii mult mai atentă la ceea ce mănânci. Pe lângă o dietă care trebuie să abundă în fructe, legume și produse lactate, trebuie să știi că a venit momentul să scoți din meniu orice aliment în stare crudă. Laptele trebuie fiert, iar peștele care conține mercur și carnea afumată trebuie evitate. Un sfat important pe care este bine ca femeile să-l urmeze începând cu săptămâna 5 de sarcină este legat de animalele de companie, în special de pisici. Ține cont că sarcina poate consuma calciul din organismul tău, de aceea dinții și părul pot fi mai afectate. Sfatul cel mai prețios al acestei perioade este odihna. Dormi cât ai nevoie, nu te suprasolicita fizic și nici nu te supraepuiza psihic. Evită stresul și ieși mai mult în natură, plimbă-te sau relaxează-te cu masaje ușoare. Poți începe un program zilnic de exerciții fizice ușoare care să te ajute atât în menținerea greutății, cât și în dezvoltarea tonusului muscular și astfel chiar în procesul de naștere. Ai grijă și de pielea ta. Ai ajuns la jumătatea drumului! Acum, urechea bebelușului poate distinge zgomote și tonalități diferite: vocea mamei - poți să-i povestești sau să-i cânți ceva, să-l alinte; vocea celor din jur - tata trebuie să fie și el prezent, ca să-l identifice la naștere; fătul își face preferințe muzicale și are reacții diferite la stiluri diferite: face mișcări bruște, mai ales dacă nu-i place ritmul muzical; visează acum și are reprezentări. Cresc sprâncenele și genele fătului, pielea este translucidă și roz-roșiatică, încrețită. Lungimea lui este de 19 cm și greutatea 400 grame. Corpul fătului devine mai proporționat, poate acum să distingă lumina de întuneric, deși stă cu ochii închiși. Poti să știi când el doarme sau este treaz, după cât de activ mișcă. Săptămâna 24 poate fi o piatră de hotar. Este timpul în care un făt devine legal viabil. Dacă s-ar naște acum ar avea șanse de supraviețuire numai cu ajutor specializat și aparate (incubator, ventilator). Poate cântări peste 600 grame și măsura 23 cm. Cu cât fătul depozitează grăsimi, pielea lui devine mai puțin încrețită. Ochii se pot închide și deschide; de obicei, au culoarea albastru - optimist, nu-i așa? Plămânii lui sunt mai dezvoltați și ar putea să se adapteze mai ușor. Se mișcă activ în burtică, are destul loc, iar tu poți să începi să te gândești la înscrierea la lecții de educație prenatală. De acum observi o creștere ponderală vizibilă. Ești acum mai greoaie și mai obosită sau ți se pare că obosești când urci scările? Este normal. Observi că ai nevoie de somn după amiaza sau seara te culci mai devreme, nu mai poți merge la petreceri nocturne? Fătul are cca. 1kg și măsoară 25 cm. Dacă s-ar naște acum, ar avea șanse 90% să supraviețuiască. Vizitele la medic trebuie să fie mai dese acum, pentru a observa poziția lui în uter și dezvoltarea armonioasă. Foarte importante sunt, de asemenea, tensiunea arterială ca și edemele (umflăturile) gleznelor sau ale mâinilor și feței. Organele continuă să se matureze, pregătindu-se pentru naștere. Începe să se dezvolte acum sistemul imunitar al fătului. Se dezvoltă „instinctul de cuib”, începi să te gândești cum să-ți decorezi casa, cum va arăta camera lui/ei, începi să faci planuri de investiții. Acum unghiile lui ajung la vârful degetelor, pielea este mai suplă și roz și el are aspect mai rotunjor. Este interesant să urmărești formele bizare pe care le face burtica, la fiecare mișcare. Se pot repeta acum analizele pentru a verifica absența anemiei și eventual anticorpii în incompatibilitate de grup sau de Rh. Pot apărea contracții uterine ușoare, care pregătesc fibra musculară pentru travaliu, dar nu fac modificări de col (Braxton - Hicks). Acum fătul are aspect de bebeluș, cresc și unghiile de la picioare; membrele sunt flectate și are mai puțin spațiu să se miște. Poti să-ți faci de pe acum bagajul pentru spital. Sarcina o porți mai liber, pentru că a coborât cu câțiva centimetri, lăsându-te să respiri din nou ușor. Poti avea acum sentimente contradictorii, parcă nașterea se apropie prea rapid. Este bine să participi la lecțiile prenatale și să înveți din experiența altor mamici. Bebelusul parcă nu mai are loc în uter. Mișcările fetale parca nu mai sunt așa energice, spațiul în uter este limitat. Dacă ești îngrijorată, mergi la medic mai des sau roagă moașa să asculte mai des (monitorizeze) bătăile cordului fetal. Bebelusul este gata să se nască, fiecare zi peste data probabilă a nașterii pare enormă, dar folosește acest timp pentru a te odihni suficient. Ai adunat destule informații și așteptările tale vor fi pe măsura răbdării și a încrederii furnizate de cei de lângă tine.
Simptomele, cum ar fi greața, pot fi mai frecvente pentru femeile în perioada în care sunt însărcinate. ‘Senzația de greață se va reduce dacă mâncați cantități mici de alimente, în mod regulat, cum ar fi sărățele, biscuiții simpli sau terci. Când stomacul dumneavoastră. Femeile care au încercat și au și rămas însărcinate sunt la fel de surprinse de acest miracol al naturii ca și femeile a căror sarcină este neplanificată. Dacă vă cântăriți, veți observa că v-ați îngrășat. Acum, corpul dumneavoastră stochează rezervele de care are nevoie pentru sarcină, pentru naștere și pentru perioada de după naștere. Depunerile de grăsime, lichidul amniotic, placenta și creșterea sânilor (plus, desigur, bebelușul) contribuie la creșterea în greutate. Informați medicul despre toate medicamentele și suplimentele pe care le luați în prezent, deoarece acestea trebuie verificate cu atenție. Anumite tipuri de vitamine pot fi, de asemenea, dăunătoare în acest stadiu, dacă consumați prea multe dintre ele. Adresați-vă medicului dumneavoastră dacă credeți că aveți nevoie de programări suplimentare.
Grețurile de dimineață „“ majoritatea femeilor se confruntă cu acest simptom începând cu cea de-a șasea săptămână de sarcină, însă sunt și femei în cazul cărora se instalează mai devreme. Totuși, nu te lăsa păcălită de denumire - senzația de greață poate să apară și în timpul zilei. Mai bine mănânci mai puțin și mai des, decât să ai 3 mese consistente pe tot parcursul zilei. Acest lucru va ameliora senzația de greață. Amețeala „“ în timpul sarcinii, presiunea sângelui din corpul tău scade față de nivelul normal. Acest lucru poate cauza amețeală și chiar stări de leșin. Te sfătuim ca, în cazul în care aceste stări intervin în timp ce conduci, să tragi pe dreapta și să aștepți până în momentul în care îți revii. Senzația de urinare frecventă „“ odată ce uterul tău se extinde, exercită presiune asupra vezicii urinare. Crampe abdominale „“ cauzate de implantarea oului sau de extinderea uterului.
Grețurile de dimineață „“ majoritatea femeilor se confruntă cu acest simptom începând cu cea de-a șasea săptămână de sarcină, însă sunt și femei în cazul cărora se instalează mai devreme. Totuși, nu te lăsa păcălită de denumire - senzația de greață poate să apară și în timpul zilei. Mai bine mănânci mai puțin și mai des, decât să ai 3 mese consistente pe tot parcursul zilei. Acest lucru va ameliora senzația de greață. Amețeala „“ în timpul sarcinii, presiunea sângelui din corpul tău scade față de nivelul normal. Acest lucru poate cauza amețeală și chiar stări de leșin. Te sfătuim ca, în cazul în care aceste stări intervin în timp ce conduci, să tragi pe dreapta și să aștepți până în momentul în care îți revii. Senzația de urinare frecventă „“ odată ce uterul tău se extinde, exercită presiune asupra vezicii urinare. Crampe abdominale „“ cauzate de implantarea oului sau de extinderea uterului.
Grețurile din timpul sarcinii, fie că este însoțită de vărsături sau nu, se numește și greață matinală, însă poate apărea oricând în timpul zilei și al nopții. Explicația științifică a greței în sarcină este dată de faptul că acum crește concentrația de estrogen și progesteron, aspect care determină stomacul să proceseze mai lent alimentele. În plus, crește sensibilitatea la mirosurile puternice, de mâncare, de parfum, de fum de țigară, aspect care provoacă senzația de vomă. Din acest motiv, unele femei pot să mănânce foarte puțin acum, iar altele să simtă nevoia de a mânca anumente alimente, de exemplu murături. Dureri de sâni. Modificările hormonale care apar acum fac ca sânii să devină foarte sensibili. Oboseală accentuată. În săptămâna 5 de sarcină, senzația de oboseală se resimte din plin. Acest aspect apare și ca urmare a schimbărilor hormonale, dar și ca urmare a scăderii nivelului de glucoză din sânge. Urinări frecvente. Crampe abdominale. Deși crampele abdominale sunt specifice săptămânii anterioare, unele femei le pot resimți în continuare. Balonarea. Obstrucția nazală. Schimbări de dispoziție. Dacă încă nu ai programat prima consultație la medic, acum este momentul ideal să o faci. Este important să faci analize de sânge și să începi să iei suplimente alimentare, în special cu acid folic. Tot din săptămâna 5 de sarcină va trebui să începi să fii mult mai atentă la ceea ce mănânci. Pe lângă o dietă care trebuie să abundă în fructe, legume și produse lactate, trebuie să știi că a venit momentul să scoți din meniu orice aliment în stare crudă. Laptele trebuie fiert, iar peștele care conține mercur și carnea afumată trebuie evitate. Un sfat important pe care este bine ca femeile să-l urmeze începând cu săptămâna 5 de sarcină este legat de animalele de companie, în special de pisici. Ține cont că sarcina poate consuma calciul din organismul tău, de aceea dinții și părul pot fi mai afectate. Sfatul cel mai prețios al acestei perioade este odihna. Dormi cât ai nevoie, nu te suprasolicita fizic și nici nu te supraepuiza psihic. Evită stresul și ieși mai mult în natură, plimbă-te sau relaxează-te cu masaje ușoare. Poți începe un program zilnic de exerciții fizice ușoare care să te ajute atât în menținerea greutății, cât și în dezvoltarea tonusului muscular și astfel chiar în procesul de naștere. Ai grijă și de pielea ta.
Sanii se dezvolta si devin durerosi si tensionati. Poti merge la medicul de familie sa te ia in evidenta si sa faci primele analize. La sfarsitul saptamanii a-7-a, embrionul masoara 2-3 cm, cam cat o rosie mica. Organele interne se formeaza, micutele membre incep sa se miste, imperceptibil, iar organele genitale externe sunt prezente, desi nu sunt distincte. Urechile se formeaza, iar embrionul se dezvolta rapid. Fata capata aspect uman, iar pleoapele sunt inchise bine peste ochi. Embrionul incepe sa miste manutele si piciorusele, miscare vizibila la ecografie.
Aceasta saptamana de sarcina vine cu cantitati mari de hormoni in organismul mamei, hormoni care lucreaza pentru a provoca schimbarile fizice necesare. Printre acestia se numara estrogenul, progesteronul si hCG. Asadar, e normal sa apara schimbari bruste de dispozitie si emotii puternice. Partenerul trebuie sa fie alaturi de viitoarea mama si sa o sprijine pentru a trece cu bine peste primul trimestru de sarcina, care poate sa fie complicat in unele situatii.
Saptamana 5 de sarcina. a cincea se desfasoara, este posibil sa incepeti sa simtiti primele semne si simptome ale sarcinii. acestea pot varia de la femeie la femeie. aproximativ 5 mm. dezvolte ochii si urechile. observa. poate chiar greata sau sensibilitate la anumite alimente. adesea rezultatul schimbarilor hormonale care au loc in corpul dumneavoastra. continua sa creasca rapid in aceasta saptamana. deja in mai multe celule. pregătește să se implanteze în mucoasa uterină. straturi germinale - ectoderm, mezoderm și endoderm. și fiecare femeie poate experimenta aceste stadii în moduri diferite. planul de îngrijire prenatală. de dimensiunea unei semințe de susan.
Deoarece mișcarea este esențială în timpul sarcinii, tatăl poate să inițieze plimbări zilnice de cel puțin 30 de minute. Apar intoleranțele la diverse alimente, iar acestea pot provoca grețuri. Poftele, dar și aversiunile alimentare sunt generate de hormoni. Femeile însărcinate pot să cedeze poftelor, însă este important să se limiteze la o cantitate normală de ciocolată sau de alte gustări pe care le doresc; Sarcina, mai ales în primul trimestru, vine cu o senzație constantă de oboseală, deoarece foarte multă energie este direcționată pentru dezvoltarea placentei. La această stare de oboseală excesivă contribuie, de asemenea, schimbările hormonale și emoționale, dar, de cele mai multe ori, după primul trimestru, organismul își revine. Odihna și alimentația corespunzătoare sunt esențiale în această perioadă; Senzația de greață, care poate duce uneori la vărsături, poate apărea în orice moment al zilei sau al nopții (nu doar dimineața!). Grețurile sunt comune în primul trimestru din cauza hormonilor, a stresului și a modificărilor din corp. Dimineața este important ca mama să mănânce câțiva biscuiți și să nu sară peste mese; În această perioadă este normal să apară saliva în exces.

Ce ar trebui să faci în această săptămână?
Dacă încă nu ai programat prima consultație la medic, acum este momentul ideal să o faci. Este important să faci analize de sânge și să începi să iei suplimente alimentare, în special cu acid folic. Tot din săptămâna 5 de sarcină va trebui să începi să fii mult mai atentă la ceea ce mănânci. Pe lângă o dietă care trebuie să abundă în fructe, legume și produse lactate, trebuie să știi că a venit momentul să scoți din meniu orice aliment în stare crudă. Laptele trebuie fiert, iar peștele care conține mercur și carnea afumată trebuie evitate. Un sfat important pe care este bine ca femeile să-l urmeze începând cu săptămâna 5 de sarcină este legat de animalele de companie, în special de pisici. Ține cont că sarcina poate consuma calciul din organismul tău, de aceea dinții și părul pot fi mai afectate. Sfatul cel mai prețios al acestei perioade este odihna. Dormi cât ai nevoie, nu te suprasolicita fizic și nici nu te supraepuiza psihic. Evită stresul și ieși mai mult în natură, plimbă-te sau relaxează-te cu masaje ușoare. Poți începe un program zilnic de exerciții fizice ușoare care să te ajute atât în menținerea greutății, cât și în dezvoltarea tonusului muscular și astfel chiar în procesul de naștere. Ai grijă și de pielea ta.
Dacă încă nu ai programat prima consultație la medicul ginecolog, acum este momentul să faci asta. Probabil că te întrebi cum să-ți alegi medicul care te va însoți pe durata celor 9 luni. Dificultatea în a alege un medic este cu atât mai mare când este vorba de medicul obstetrician, datorită acestui tip particular de îngrijire. Un obstetrician, pentru a avea o relație adecvată cu viitoarea mamă (și cu tatăl!) trebuie să fie capabil să stabilească o triplă relație: cu mama, copilul și starea de inter-relație dintre mama și fat. Există boli care aparțin doar mamei, afecțiuni specifice fătului și, foarte interesant, condiții medicale ale mamei și fătului împreună. Femeia însărcinată dorește tot ceea ce este mai bun pentru copilul ei și de obicei va ști încă de la prima întâlnire dacă acela va fi medicul ei obstetrician. Dincolo de toate examenele pe care le dă, medicul obstetrician va trebui să treacă examenul instinctului matern.
Ce trebuie să faci înainte de sarcină I Dr. Alina Bordea I Femmeboutiquemedical.com
Alimentația în săptămâna 5 de sarcină
Cel mai probabil te simți amețită. Din păcate, grețurile matinale nu au loc doar dimineața. Din nefericire, greața este un pas aproape necesar în timp ce corpul tău se obișnuiește cu toate schimbările ce au loc înăuntrul său. Sunt totuși câteva lucruri pe care le poți face. Mai întâi, încearcă să nu sari peste micul dejun. Îți va oferi carbohidrații necesari pentru a-ți începe ziua într-o stare bună și s-ar putea să te ajute și cu grețurile. Poți, de asemenea, să încerci să îți împarți mesele. Planifică gustări mici în cursul dimineții și după-amiaza, pe lângă cele trei mese obișnuite. Și nu te îngrijora dacă pierzi în greutate la începutul sarcinii din cauza vărsăturilor. Încă un lucru de amintit - bea suficientă apă pentru a rămâne hidratată.
O dietă sănătoasă este importantă pe tot parcursul sarcinii. Pentru a te bucura de o stare cât mai bună și pentru ca bebelușul să se dezvolte normal, sunt recomandate următoarele categorii de alimente:
- Fructe: 3-4 porții pe zi. Se pot consuma fructe proaspete, congelate, conservate în suc natural, fructe uscate sau suc de fructe natural. Citricele (portocale, mandarine) sunt bogate în vitamina C, așa că trebuie incluse în dieta zilnică;
- Legume: 3-5 porții pe zi. Pentru a obține o cantitate cât mai mare de nutrienți, se recomandă salate de broccoli/spanac, morcovi/cartofi dulci/dovleac, porumb/ardei galben, roșii/ardei roșu;
- Lactate: 3 porții pe zi. Produsele lactate oferă calciul de care bebelușul are nevoie, dar și nutrienții necesari pentru ca mama să își mențină oasele puternice și sănătoase. Se recomandă consumul de lapte, iaurt și brânză cu conținut scăzut de grăsimi sau fără grăsimi;
- Proteine: 2-3 porții pe zi. În această perioadă este bine să se consume carne slabă, carne de pasăre, pește și ouă preparate cu cantități minime de grăsime. Fasolea este, de asemenea, o sursă importantă de proteine, la fel ca lintea, mazărea, nucile și semințele;
- Cereale integrale: 3 porții pe zi. Fibrele pot fi preluate din pâinea cu cereale integrale, cereale, biscuiți și paste.
Nu există o formulă magică pentru o alimentație sănătoasă în sarcină. De fapt, aceleași principii de bază ale unei diete sănătoase rămân valabile și în sarcină: multe fructe, legume, cereale integrale și proteine slabe. Totuși, trebuie să acorzi o atenție deosebită anumitor nutrienți.
Sfaturi pentru o sarcină mai ușoară
Probabil că te întrebi cât ar trebui să câștigi în greutate în timpul sarcinii. Specialiștii recomandă o creștere între 11-16 kilograme pentru femeile care aveau o greutate normală înainte de a rămâne gravide. Cele subponderale ar trebui să câștige în greutate în medie 15.5 kilograme, în timp ce femeile supraponderale aproximativ 9 kilograme. Află mai multe informații despre greutatea în sarcină.
Dacă ai grețuri de sarcină, aici vei găsi câteva sfaturi care să te ajute să te simți mai bine.
Dacă ai grețuri de sarcină, aici vei găsi câteva sfaturi care să te ajute să te simți mai bine. Nu asculta poveștile despre naștere ale oricui, te pot impresiona negativ. Lanugo și stratul de vernix care acoperă pielea încep să dispară, greutatea lui este de 2400 grame, poți deja să faci planuri de naștere cu familia. Se pot repeta acum analizele pentru a verifica absența anemiei și eventual anticorpii în incompatibilitate de grup sau de Rh. Pot apărea contracții uterine ușoare, care pregătesc fibra musculară pentru travaliu, dar nu fac modificări de col (Braxton - Hicks). Acum fătul are aspect de bebeluș, cresc și unghiile de la picioare; membrele sunt flectate și are mai puțin spaiu să se miște. Poti să-ți faci de pe acum bagajul pentru spital. Sarcina o porți mai liber, pentru că a coborât cu câțiva centimetri, lăsându-te să respiri din nou ușor. Poti avea acum sentimente contradictorii, parcă nașterea se apropie prea rapid. Este bine să participi la lecțiile prenatale și să înveți din experiența altor mamici. Bebelusul parcă nu mai are loc în uter. Mișcările fetale parca nu mai sunt așa energice, spațiul în uter este limitat. Dacă ești îngrijorată, mergi la medic mai des sau roagă moașa să asculte mai des (monitorizeze) bătăile cordului fetal. Bebelusul este gata să se nască, fiecare zi peste data probabilă a nașterii pare enormă, dar folosește acest timp pentru a te odihni suficient. Ai adunat destule informații și așteptările tale vor fi pe măsura răbdării și a încrederii furnizate de cei de lângă tine.



Săptămâna 5 de sarcină. a cincea se desfășoară, este posibil să începeți să simțiți primele semne și simptome ale sarcinii. acestea pot varia de la femeie la femeie. aproximativ 5 mm. dezvolte ochii și urechile. observa. poate chiar greață sau sensibilitate la anumite alimente. adesea rezultatul schimbărilor hormonale care au loc în corpul dumneavoastră. continuă să crească rapid în această săptămână. deja în mai multe celule. pregătește să se implanteze în mucoasa uterină. straturi germinale - ectoderm, mezoderm și endoderm. și fiecare femeie poate experimenta aceste stadii în moduri diferite. planul de îngrijire prenatală. de dimensiunea unei semințe de susan.
Dacă ai grețuri de sarcină, aici vei găsi câteva sfaturi care să te ajute să te simți mai bine. Nu există o formulă magică pentru o alimentație sănătoasă în sarcină. De fapt, aceleași principii de bază ale unei diete sănătoase rămân valabile și în sarcină: multe fructe, legume, cereale integrale și proteine slabe. Totuși, trebuie să acorzi o atenție deosebită anumitor nutrienți.
Dacă mai ai de făcut prima consultatie la medic, acum este momentul ideal să o faci. Este important să faci analize de sânge și să începi să iei suplimente alimentare, în special cu acid folic. Tot din săptămâna 5 de sarcină va trebui să începi să fii mult mai atentă la ceea ce mănânci. Pe lângă o dietă care trebuie să abundă în fructe, legume și produse lactate, trebuie să știi că a venit momentul să scoți din meniu orice aliment în stare crudă. Laptele trebuie fiert, iar peștele care conține mercur și carnea afumată trebuie evitate. Un sfat important pe care este bine ca femeile să-l urmeze începând cu săptămâna 5 de sarcină este legat de animalele de companie, în special de pisici. Ține cont că sarcina poate consuma calciul din organismul tău, de aceea dinții și părul pot fi mai afectate. Sfatul cel mai prețios al acestei perioade este odihna. Dormi cât ai nevoie, nu te suprasolicita fizic și nici nu te supraepuiza psihic. Evită stresul și ieși mai mult în natură, plimbă-te sau relaxează-te cu masaje ușoare. Poți începe un program zilnic de exerciții fizice ușoare care să te ajute atât în menținerea greutății, cât și în dezvoltarea tonusului muscular și astfel chiar în procesul de naștere. Ai grijă și de pielea ta.
Abordarea medicală în sarcina timpurie este esențială. Dacă încă nu ai programat prima consultație la medic, acum este momentul ideal să o faci. Este important să faci analize de sânge și să începi să iei suplimente alimentare, în special cu acid folic.
Sarcina, mai ales în primul trimestru, vine cu o senzație constantă de oboseală, deoarece foarte multă energie este direcționată pentru dezvoltarea placentei. La această stare de oboseală excesivă contribuie, de asemenea, schimbările hormonale și emoționale, dar, de cele mai multe ori, după primul trimestru, organismul își revine. Odihna și alimentația corespunzătoare sunt esențiale în această perioadă.
Senzația de greață, care poate duce uneori la vărsături, poate apărea în orice moment al zilei sau al nopții (nu doar dimineața!). Grețurile sunt comune în primul trimestru din cauza hormonilor, a stresului și a modificărilor din corp. Dimineața este important ca mama să mănânce câțiva biscuiți și să nu sară peste mese.
Dacă ai grețuri de sarcină, aici vei găsi câteva sfaturi care să te ajute să te simți mai bine. Nu asculta poveștile despre naștere ale oricui, te pot impresiona negativ. Lanugo și stratul de vernix care acoperă pielea încep să dispară, greutatea lui este de 2400 grame, poți deja să faci planuri de naștere cu familia. Se pot repeta acum analizele pentru a verifica absența anemiei și eventual anticorpii în incompatibilitate de grup sau de Rh. Pot apărea contracții uterine ușoare, care pregătesc fibra musculară pentru travaliu, dar nu fac modificări de col (Braxton - Hicks). Acum fătul are aspect de bebeluș, cresc și unghiile de la picioare; membrele sunt flectate și are mai puțin spațiu să se miște. Poti să-ți faci de pe acum bagajul pentru spital. Sarcina o porți mai liber, pentru că a coborât cu câțiva centimetri, lăsându-te să respiri din nou ușor. Poti avea acum sentimente contradictorii, parcă nașterea se apropie prea rapid. Este bine să participi la lecțiile prenatale și să înveți din experiența altor mamici. Bebelusul parcă nu mai are loc în uter. Mișcările fetale parca nu mai sunt așa energice, spațiul în uter este limitat. Dacă ești îngrijorată, mergi la medic mai des sau roagă moașa să asculte mai des (monitorizeze) bătăile cordului fetal. Bebelusul este gata să se nască, fiecare zi peste data probabilă a nașterii pare enormă, dar folosește acest timp pentru a te odihni suficient. Ai adunat destule informații și așteptările tale vor fi pe măsura răbdării și a încrederii furnizate de cei de lângă tine.

tags: #totul #despre #saptamana #5 #de #sarcina