În cadrul cabinetului de pediatrie, puteți beneficia de o gamă variată de servicii medicale, menite să asigure sănătatea și dezvoltarea optimă a copiilor dumneavoastră.
Servicii Oferite în Cabinetul de Pediatrie
- Consultații pediatrie și neonatologie
- Consultații și tratamente profilactice în cadrul medicinei de familie
- Vaccinări
- Tratamente generale și locale (injectabile, pe cale orală, desensibilizări)
- Controale periodice pentru evaluarea stării de sănătate și a dezvoltării psiho-motorii a sugarului, copilului și adolescentului
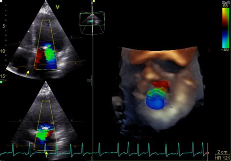
- Examinări de specialitate cardiologie pediatrică - inclusiv ecografie Doppler pentru depistarea malformațiilor cardiace
- Alergologie pediatrică
Consultațiile se fac în baza unei programări prealabile.

Echipa Medicală Specializată
Cabinetul beneficiază de o echipă de medici cu experiență și competențe diverse, asigurând o abordare completă a sănătății copilului:
Prof. Univ. Dr. Alexandru Grigore Dimitriu
- Specialitatea: Medic primar Pediatrie și Cardiologie, doctor în medicină
- Competențe: Ecocardiografie Doppler
- Program de consultații: Cu programare telefonică prealabilă
Dr. Carmen Olaru
- Specialitatea: Medic primar Pediatrie
- Competențe: Ecografie
- Program de consultații: Cu programare telefonică prealabilă
Dr. Mihai Hogas
- Specialitatea: Medic specialist Pediatrie
- Program de consultații: Cu programare telefonică prealabilă
Dr. Cristina Mandric
- Specialitatea: Medic specialist Pediatrie, doctor în medicină
- Program de consultații: Cu programare telefonică prealabilă

Cardiologie Pediatrică - Expertiză și Tehnologie Avansată
În cadrul consultațiilor de cardiologie pediatrică, se abordează cu prioritate malformațiile congenitale de cord la toate vârstele, de la nou-născut la adolescent. De asemenea, sunt tratate afecțiunile cardiovasculare dobândite, precum hipertensiunea arterială și tulburările de ritm la copil.
Prof. Univ. Dr. Alexandru-Grigore Dimitriu
- Specialitatea: Medic primar în Cardiologie și Pediatrie, doctor în medicină
- Competențe: Ecocardiografie DOPPLER color
- Program de consultatii: Cu programare telefonică prealabilă
Un loc particular este acordat și prevenirii factorilor de risc cardiovascular la copil, între care se numără obezitatea și sindromul metabolic.

Dr. Alin Nicolescu despre cât durează un consult la Cardiologie Marie Curie
Informații despre Dispariția Fiului Dr. Cristina Mandric
În dimineața zilei de 16 mai 2022, Marian Mandric, fiul medicului Cristina Mandric, a dispărut de acasă. După două zile de căutări intense, tânărul a fost găsit de polițiști în comuna Dumești, județul Iași. Conform unor surse din anchetă, băiatul a mers pe jos de la locuința sa din Lunca Cetățuii, comuna Ciurea, până în comuna Dumești, trecând prin pădure și pe câmp, unde a dormit lângă o stână. Motivul dispariției și eventuale intenții suicidare nu au fost clarificate, dar martorii au relatat că Marian părea a fi într-o stare vizibilă de depresie.
Marian Eugen Mandric, student în anul 4 la Facultatea de Drept, în vârstă de 24 de ani, a plecat de acasă într-o zi obișnuită, îndreptându-se spre facultate, unde avea examen. Familia și polițiștii ieșeni l-au căutat, iar ultimele imagini cu el au fost surprinse de camerele de supraveghere în dimineața plecării. Semnalmentele sale la momentul dispariției au fost: înălțime 1,97 m, 100 kg, păr șaten, îmbrăcat cu pantaloni blue-jeans, cămașă albă, geacă maro, pantofi maro și un rucsac grena.

Acest eveniment a generat îngrijorare și a readus în atenție cazuri similare, precum cel al lui Nechifor Iulian, un tânăr dispărut în aprilie 2021, găsit ulterior decedat în pădure.
Unitatea de Primire Urgențe (UPU)
Calitatea îngrijirii și siguranța pacienților sunt pe primul loc în Unitatea de Primire Urgențe. În anul 2024, în UPU au fost asistați un număr de 49645 de pacienți. Unitatea de Primire Urgențe are acces direct de pe Strada Vasile Lupu, pe la Poarta nr. 1.

tags: #dr #pediatru #mandric #cristina